Stories About Smiles

Every smile has a story. Read about real patients who transformed their smiles with Invisalign at Copley Dental. Their experiences might inspire your own journey to a straighter, more confident smile.

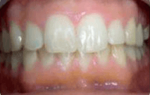
Sarah's smile transformation

Sarah M.

Age 28 | Marketing Professional

Crowded teeth & crossbite

"As someone who's always in client meetings, I was hesitant about getting braces. Invisalign was the perfect solution! Most people didn't even notice I was wearing them. After 14 months, I have the smile I've always wanted, and my confidence has soared."
Treatment Time: 14 months Result: Perfectly aligned smile
Mike's smile transformation

Mike T.

Age 35 | Software Engineer

Gaps between teeth

"I've been self-conscious about the gaps in my teeth since high school. Finally decided to do something about it. The process was so easy - I could remove them for important presentations and dates. Best decision I've made for myself!"
Treatment Time: 9 months Result: Closed all gaps
Emma's smile transformation

Emma R.

Age 16 | High School Student

Overbite & crooked teeth

"My mom and I chose Invisalign Teen because I play the flute in band. Being able to remove the aligners for performances was huge! Plus, I didn't have to worry about food getting stuck like my friends with braces. Prom photos looked amazing!"
Treatment Time: 18 months Result: Corrected bite & straight teeth
David's smile transformation

David L.

Age 42 | Sales Director

Relapsed after braces

"I had braces as a kid but didn't wear my retainer. By 40, my teeth had shifted significantly. Invisalign fixed everything in just 10 months. This time, I'm definitely wearing my Vivera retainers! Dr. Badaoui and the team made the whole process smooth."
Treatment Time: 10 months Result: Restored alignment
Jennifer's smile transformation

Jennifer K.

Age 25 | Nurse

Underbite & spacing

"Working in healthcare, I'm always close to patients. I wanted to improve my smile without the 'metal mouth' look. Invisalign was perfect - professional, discreet, and effective. My bite is fixed, and I love smiling now!"
Treatment Time: 16 months Result: Corrected bite & spacing

What Our Patients Love Most

Discreet Treatment

"Most people didn't even know I was straightening my teeth!"

Lifestyle Flexibility

"I could eat whatever I wanted and remove them for special occasions."

Comfort

"So much more comfortable than I expected - no sharp wires or brackets."

Predictable Results

"Seeing my final smile before starting gave me confidence in the process."

Start Writing Your Smile Story

Every great smile transformation begins with a consultation. Let us help you discover how Invisalign can change your smile and your confidence.

Free Consultation

Discuss your goals and see if you're a candidate

3D Smile Preview

See your potential results before you start

Flexible Payment

Affordable monthly payment options available

Ready to Transform Your Smile?

Join thousands of satisfied patients who have chosen Invisalign at Copley Dental.